Pathology or Artifact?

Greetings Scan Squad! 

One of my instagram posts last week highlighted the importance of testicular scanning. “Hidden” within these images was a very cool ultrasound artifact…

…edge shadowing! 

What is edge shadowing? It is a narrow, hypoechoic shadow line arising from the edge of round or oval organ margins. Definitely named by a literalist! 

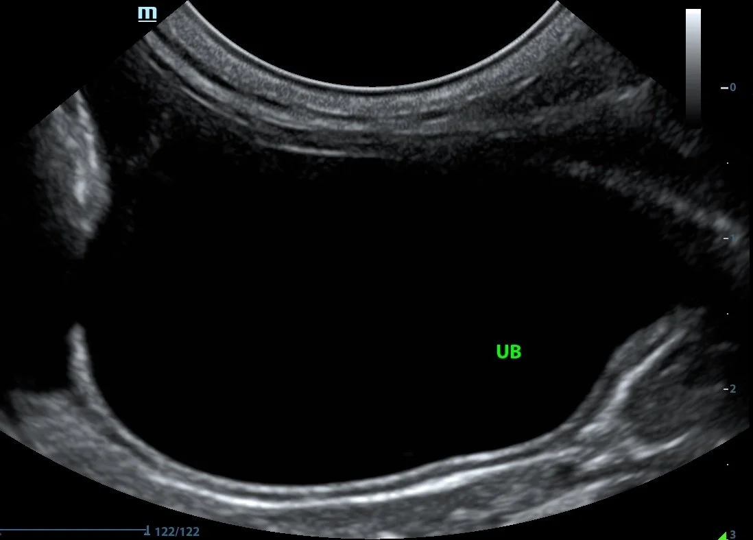
Common organs where edge shadowing can be seen include the kidneys, urinary bladder and gall bladder. It occurs due to ultrasound wave deflection at rounded interfaces. 

It is important to be aware of this artifact so that it is not mistaken for a real lesion. In the image of the urinary bladder below, edge artifact is creating the appearance of a defect in the wall. 

Now scoot on back to instagram and see if you can appreciate the edge shadowing in the testicular images! 

Do you have any requests for new products? Newsletter topics? Instagram posts? If so, we’d love to hear from you - let us know! 

Happy scanning!

Note the edge shadowing artifact (arrows) arising from each rounded edge of this kidney..

Note the false defect in the apical wall of this urinary bladder caused by edge shadowing.

Next
Next

3 Ultrasound Tips Anyone Can Master