ADRENAL GLAND MASTERCLASS

Give me 60 minutes and I’ll show you a structured, repeatable way to reliably find and interpret adrenal glands - even when they’re small or hard to see

Stop guessing where the adrenal glands are and start finding them confidently, every time you scan

Are you a veterinarian or vet tech wanting to improve your adrenal gland ultrasound skills?

Join me for an online, live masterclass where we’ll turn the adrenal gland chaos that is currently in your head (and hands!) into an actionable, reliable adrenal gland ultrasound strategy.

You’ll receive protocols and actionable steps that you can apply right away - no guesswork needed.

Wednesday

May 20th 2026

10:00am - 11:30am (AEST)

Thursday

May 21st 2026

6:30pm-8:00pm (AEST)

“I just wanted to let you know I found an adrenal today using your guide. For starters, for some reason I thought the adrenal was at the caudal end of the kidney so I had also been looking at the wrong end… so the diagrams you put in the guide really work. And then I just used your kidney to blood vessel fanning protocol.”

Carly, 2016 BVSc Graduate

HERE’S THE PROBLEM…

If you don’t have a structured system to find the adrenal glands, you will keep:

  • scanning past them

  • wasting time searching

  • second-guessing what you’re seeing

  • or calling something “close enough”

And the problem isn’t that adrenal glands are “too hard” -

it’s that no one has shown you a clear, repeatable way to approach them

WHO IS THE ADRENAL MASTERCLASS FOR?

You’re a veterinarian, veterinary student or vet tech and:

  • you avoid adrenal scans unless you have to

  • you’re not 100% sure you’re actually looking at the adrenal

  • you scan past them without realising

  • you rely on “it looks about right”

  • you take too long trying to find them

  • you want a repeatable approach you can trust

THE SESSION RUNS ONLINE, LIVE FOR 1.5 HOURS

Join me for 60 minutes of teaching followed by a 30 minute Q&A

Wednesday

May 20th 2026

10:00am - 11:30am (AEST)

Thursday

May 21st 2026

6:30pm-8:00pm (AEST)

Price: $67.00 USD

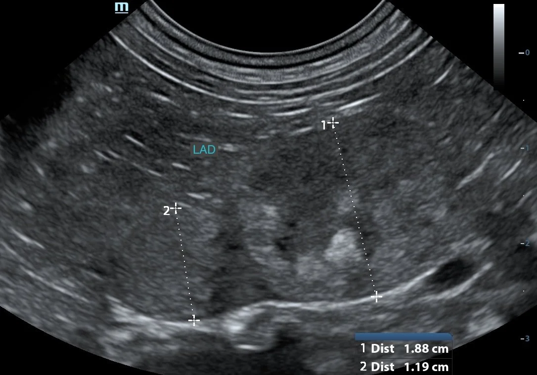
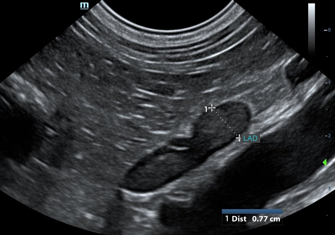
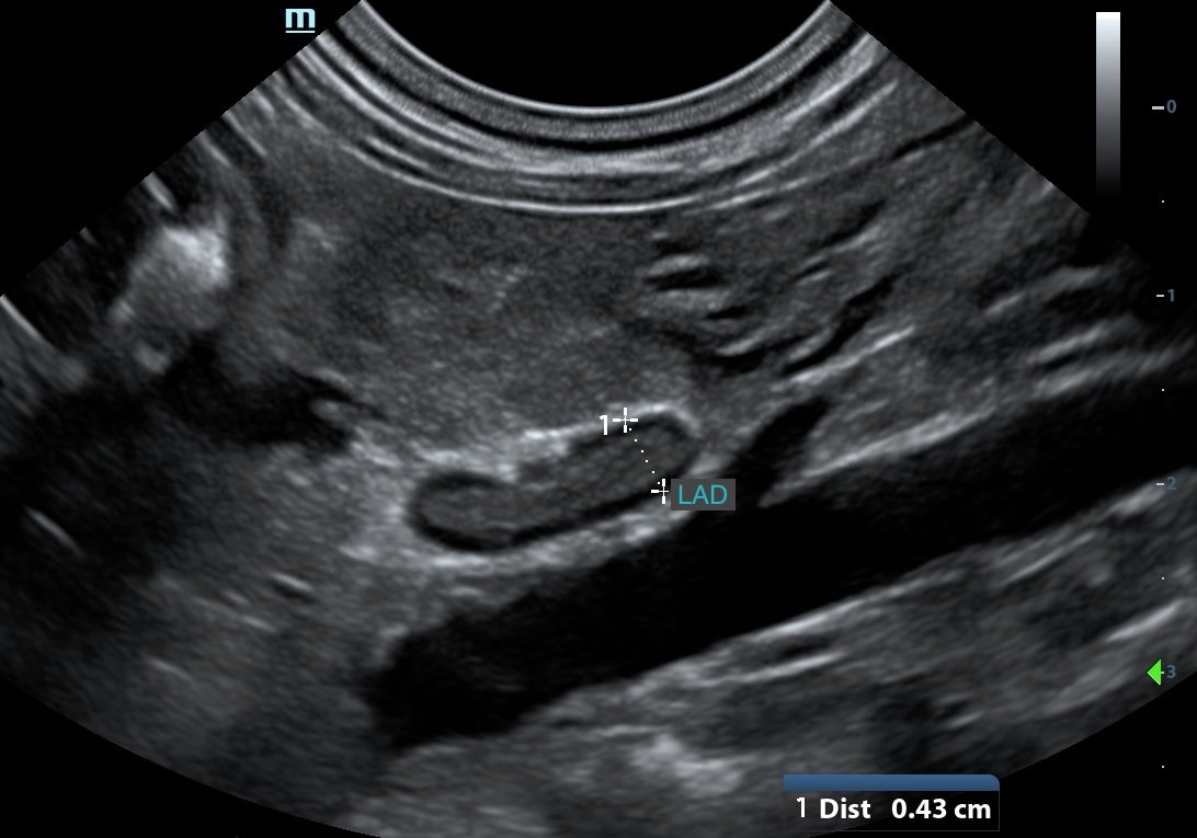
WATCH HOW IT ACTUALLY CAN LOOK IN PRACTICE

IMAGINE GOING FROM…

  • scanning for 15 minutes and still not finding the adrenal (I’ve been there!)

  • not being sure if what you’re seeing is real

  • avoiding scanning the adrenals unless you absolutely have to

TO…

  • locating the adrenal quickly and confidently EVERY time you scan

  • knowing exactly what you’re looking at

  • explaining findings clearly to vets and clients

WHAT MAKES THIS MASTERCLASS DIFFERENT?

This is not a lecture on adrenal disease

This is a practical, real-world ultrasound approach to actually find and assess adrenal glands immediately in practice

I’ll teach you how to:

  • reliably locate adrenal glands using consistent anatomical landmarks

  • follow a repeatable scanning sequence

  • recognise normal vs abnormal with more confidence

  • avoid common mistakes that lead to misidentification

  • handle small or difficult-to-find adrenals

READY TO GET CLARITY ON HOW TO CONFIDENTLY FIND THE ADRENALS DURING EVERY ULTRASOUND?

Wednesday

May 20th 2026

10:00am - 11:30am (AEST)

Thursday

May 21st 2026

6:30pm-8:00pm (AEST)