eVet Adrenal Gland Ultrasound Guide

Finally feel confident finding and interpreting adrenal glands in dogs and cats

A step-by-step ultrasound guide designed to take you from “Where even are they?” to “I can find them every time” - without second guessing every scan

How this guide helps:

  • Introducing the eVet LADR + RADR protocols - find both adrenal glands reliably using a repeatable system

  • Step-by-step scanning instructions you can follow in real time

  • Clear, practical explanations (no dense, overwhelming jargon)

  • Recognise normal vs abnormal with clarity

  • Stop relying on guesswork or “maybe that’s it?” moments

  • Provides THREE different ways to find the adrenal glands with ultrasound in dogs and cats

  • Build confidence in your reports and recommendations

  • Purpose-drawn diagrams that show how to perform each step

Why is this guide different?

This guide shows you:

1. How to actually find the adrenal glands using repeatable, easy to remember protocols

2. What to do when an adrenal gland is not obvious

3. How to interpret what you’re seeing in real life scans

What's inside?

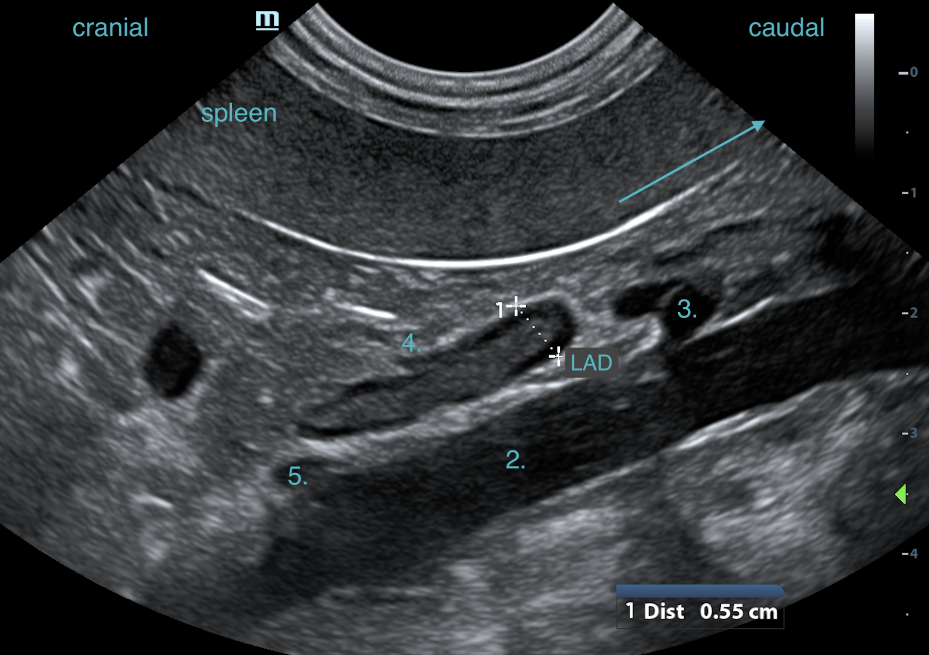
  • A detailed description of THREE different ways to find the adrenal glands with ultrasound

  • Normal adrenal appearance and measurements

  • Common abnormalities + differentials explained simply

  • Adrenal gland troubleshooting guide

  • The classic eVet step-by-step, dot-point practical format with a conversational tone - the “un-textbook”

  • Positioning, probe tips and landmarks that actually work

  • My own practical, real-world pro tips

  • Electronic format - purchase and download straight to your device

Price: $47

$57

Testimonials:

Join the eVet community of 1000s of vets worldwide!

“I just wanted to let you know I found an adrenal today using your guide. For starters, for some reason I thought the adrenal was at the caudal end of the kidney so I had also been looking at the wrong end… so the diagrams you put in the guide really work. And then I just used your kidney to blood vessel fanning protocol.”

- Carly, 2016 BVSc Graduate

------------------------

The Adrenal Gland Guide is for you, if:

You avoid adrenal glands because they feel too hard

You can sometimes find them…but not consistently

You’re unsure if what you’re seeing is normal

You want a clear system instead of random searching

FAQs

  • After purchase, a link will be available on screen. You will also be emailed the link. Simply click on the link to download your product! MAKE SURE TO CHECK YOUR JUNK AND PROMOTIONS EMAIL FOLDERS.

  • There are THREE different ways to find the adrenal glands explained in this guide. I have created simple, easy-to-follow diagrams to help you succeed! The guide also covers a refresher of normal anatomy and function, abnormal findings and troubleshooting the adrenal glands.

  • All of our products are sold in US Dollars (USD).

  • Due to the electronic nature of our products we do not offer refunds.

  • Yes! The Adrenal Gland Guide was designed with both new graduate and experienced vets in mind. It will help you learn new techniques or perfect old ones.

  • We also have a complete abdominal ultrasound guide covering normal abdominal ultrasound findings AND a second guide explaining abdominal ultrasound abnormal findings. We also offer the exact same abdominal ultrasound template that I use every day, designed to make the reporting process much faster! Head to www.evetguides.com to check it all out!